We all want great-looking teeth and a fabulous smile, but sometimes, no matter how hard we try, we still end up with stained or discolored teeth that ruin our naturally beautiful smile. If only there was a way to restore the look of our teeth to that bright white look that we all want.
Promotions
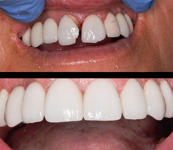
Well, fortunately, there is. Teeth veneers in Calgary are an excellent option when it comes to protecting and restoring the look of your teeth to give you back that smile you deserve. Renew Dental offers our patients a variety of dental services, including veneers.
What Are Dental Veneers?
Dental veneers near you are made of porcelain that is shaped to cover the front of your teeth, providing them with a whiter and brighter appearance. Veneers are usually bonded over teeth that have been weakened due to tooth decay or other dental problems, such as large gaps between teeth. Not only can you improve the look of your teeth, but you can also protect weakened and sensitive teeth from further damage, giving you a better, longer-lasting smile in the process.
What Are The Benefits Of Veneers?
Calgary teeth veneers can change the size, shape, color, and position of individual teeth while also improving their overall appearance. Here are some reasons you may want veneers:
- To correct crooked teeth
- To improve alignment with nearby misaligned or protruding teeth
- To close large spaces in between teeth so that they look more uniform
- For larger front incisors that are too short
- To cover up dark spots on teeth from surface stains led by certain foods and drinks, which can be embarrassing when you smile or talk
Can Anyone Have Dental Veneer Treatment Done?
Yes! You don’t have to wait until your teeth are completely worn down before getting help. In fact, it’s often best to put off treatment until later if someone has good oral health habits like brushing with fluoride toothpaste twice a day and watching what they eat and drink.
How Do You Get Veneers?
For many people, it’s as simple as taking a few impressions of the teeth and then sending them to the dental lab. Dr. Keith Lawson will send you home with a temporary veneer until your permanent ones are ready in about two weeks’ time. Then just come back for one last appointment where they’ll be bonded on.
Veneers are a simple and painless way to correct your smile and protect your teeth in the process. If you’ve been hesitant about what to do about your smile, consider contacting us here at Renew Dental about having the best veneers in Calgary installed for you.


